
Manhattan Beach's Favorite Dentist
Fulbright Dental
Fulbright Dental is your premier dental destination in Manhattan Beach, delivering outstanding care for all your oral health needs.
- Mon-Thurs: 8am-5pm
- Fri: 7am-3pm


Why choose us?

Cosmetic Expertise
Our skilled doctors combines artistic vision with advanced training to deliver stunning, natural-looking results. From smile makeovers to subtle enhancements, every treatment is designed to elevate your confidence.

Proactive Approach
We focus on preventive, holistic dentistry, addressing the root causes of oral health issues for lasting wellness.

Advanced Technology
Our state-of-the-art technology and techniques ensure efficient, precise, and comfortable treatments for our patients.

Cosmetic & General Dentist
Dr. Michael Fulbright
Dr. Michael Fulbright, the owner and founder of Fulbright Dental's Redondo Beach location, is a highly skilled dentist specializing in implants, full-arch restorations, sleep apnea treatment, airway management, cosmetic dentistry, and general dental care. With his passion for helping patients achieve optimal oral health and beautiful smiles, Dr. Fulbright is dedicated to providing exceptional care in a warm, welcoming environment.


.png)


.png)


Cosmetic & General Dentist
Dr. Lauren Estes
Dr. Lauren Estes is known for her compassionate approach and dedication to patient-centered care. Originally from Tennessee, Dr. Estes has always been driven by a desire to help others and create a welcoming environment for her patients. She believes dentistry goes beyond oral health—it’s about building trust, fostering confidence, and making patients feel truly cared for.
After completing her education, Dr. Estes moved to the South Bay to join our team and focus on providing the highest standard of care to her patients. Her clinical expertise spans comprehensive restorative care, cosmetic treatments, and preventive dentistry, and she is committed to staying at the forefront of dental advancements through ongoing education.

Dr. Kevin Faist
Meet Your Doctor
Dr. Kevin Faist, the owner of our Manhattan Beach location, is a talented and experienced dentist who specializes in general and cosmetic dentistry. With a passion for providing excellent, patient-centered care, Dr. Faist takes the time to understand your unique needs and concerns, ensuring that you feel comfortable and confident throughout your dental journey.
%20(1).jpg)
Our services
Our services

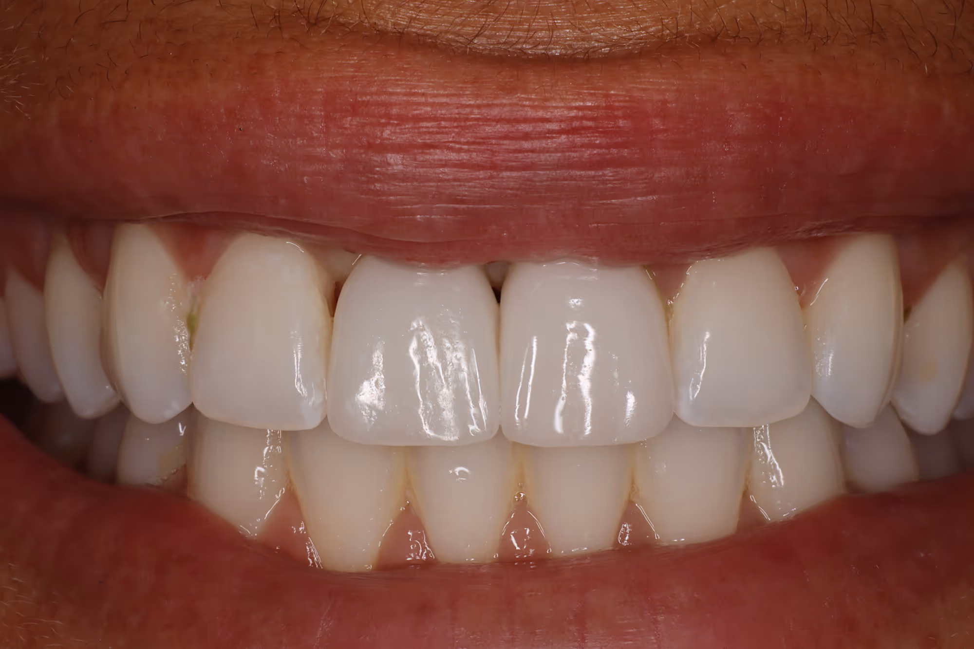
See what’s possible
Discover how expert cosmetic care can transform your smile and boost your confidence. Browse our before and after gallery to view real patients and the stunning results achieved by our skilled doctors and team.
Find our office
Conveniently located in Downtown Manhattan Beach, our office is right next to the beloved Uncle Bill's Pancake House. Enjoy easy access to our practice with convenient parking at the nearby Metlox, and take a leisurely 5-minute walk to the beach after your appointment!






















.avif)
.avif)
%20(1).avif)
%20(1).avif)
.avif)
.avif)










